CT
Komputer tomográfia az idegrendszeri betegségek diagnosztikájában
Dr. Csébi Péter
SZIE Állatorvos-tudományi Kar, Sebészeti és Szemészeti Tanszék és Klinika
Az első fizikai Nobel-díjat Konrad Röntgen kapta, mivel az általa felfedezett röntgenvizsgálat rendkívül nagy jelentőségű volt a betegségek modern diagnosztikájában. A második fizikai Nobel-díjat az orvosi
képalkotás területén 78 évvel később, Hounsfield és Cormack tudósoknak ítélték oda, a számítógépes rétegfelvétel felfedezéséért, ami a mai modern komputer tomográfiás (CT) eljárást megalapozta. A műszaki
és orvosi ismeretek fejlődésének eredményeként az első CT felvétel 1967-ben készült el. Az első felvétel mérési ideje 9 napig tartott, majd a számítógép két és fél órai számítás után jelenítette meg a
képet. Napjaink korszerű berendezései néhány másodperc alatt végzik el ezeket a műveleteket.
Az Állatorvos-tudományi Egyetemen
üzemelő CT készülék..
A különböző betegségek megállapításhoz mára már széles körben elterjedtek a modern CT készülékek (1. ábra), melyek rendkívül nagymértékben kitágították az orvosi diagnosztika lehetőségeit. A CT felhasználása
mind a központi idegrendszer, mind az egésztest vizsgálatokban a diagnosztika alap módszerévé vált. Gyakorlatilag egy röntgenvizsgálatról van szó, azonban a hagyományos röntgennél sokkal részletgazdagabb
képeket kapunk. Ez annak köszönhető, hogy a test egy területéről nem egy egyszerű röntgenképet készítünk, hanem a vizsgált régiót számos egymást követő haránt irányú szeletben láttatjuk. A speciális képalkotás
a modern számítógépes háttérnek köszönhető. Ennek eredményeként, például a fej esetében, a CT képeken jól elkülönül egymástól a koponyát borító izomzat, a koponya csontozata és az agyvelő szövete. Ezzel
szemben a hagyományos röntgenképeken ezek nagyrészt egybe mosódnak, és az agyvelőt elkülönülően nem látjuk.
Az állatok vizsgálatára kiválóan alkalmasak az eredetileg humán célra gyártott berendezések. A vizsgálat kivitelezésében a fő különbség az, hogy az állatokat a vizsgálathoz minden esetben el kell altatni,
hiszen másképp nem tudjuk elérni, hogy a vizsgálat idejére mozdulatlanok maradjanak. Az altatás miatt a CT vizsgálatokat mindig megelőzi egy általános kivizsgálás, ami alapján el tudjuk dönteni, hogy az
adott állat betegsége, általános állapota lehetővé teszi-e a vizsgálatot. Az állatok altatása mindig altatógéppel és szigorú, folyamatos ellenőrzés mellett történik.
Az érzékeny idegszövet nagyon védetten, a koponyán és a gerinccsatornán belül helyezkedik el, ezért a vizsgálata is számos nehézséget rejt. A pontos diagnózis felállítása még a modern vizsgáló módszerek
birtokában is gyakran komoly kihívást jelent az állatorvosnak. A hagyományos röntgenképeken csak a csontozat elváltozásai ismerhetőek fel, az idegszövet nem látható. Speciális kontrasztos röntgenvizsgálattal
(gerincfestés vagy más néven mielográfia) lehetett eddig csak szélesíteni a képalkotó diagnosztika lehetőségeit, de az agyvelő esetében ez sem jelent előrelépést. Az agyvelő megjelenítésére azonban alkalmas
a CT, így számos betegség megállapítható. Különösen a kistestű fajtákban gyakori agyvelővízkór (2. ábra), és a más fajtákban is előforduló agydaganatok (3.ábra) egy része állapítható meg nagy biztonsággal.
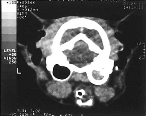
A koponyán belüli vérzések és a koponya traumás sérülései (4. ábra) is jól kimutathatóak. Hasonlóan fontos szerepe van a közép-, és belsőfül betegségeinek megállapításában, mert biztosan felismerhető a
dobüregnek, vagyis a középfülnek a megbetegedése (5. ábra). Az agyvelő és a fül vizsgálata mellett a gerinc vizsgálatában is nagy szerepet játszik, mert a hagyományos röntgenvizsgálattal látott elváltozásokról
egy új síkban, vagyis haránt metszetben létrehozott szeletképeivel nagyon sok hasznos kiegészítő információval szolgál.
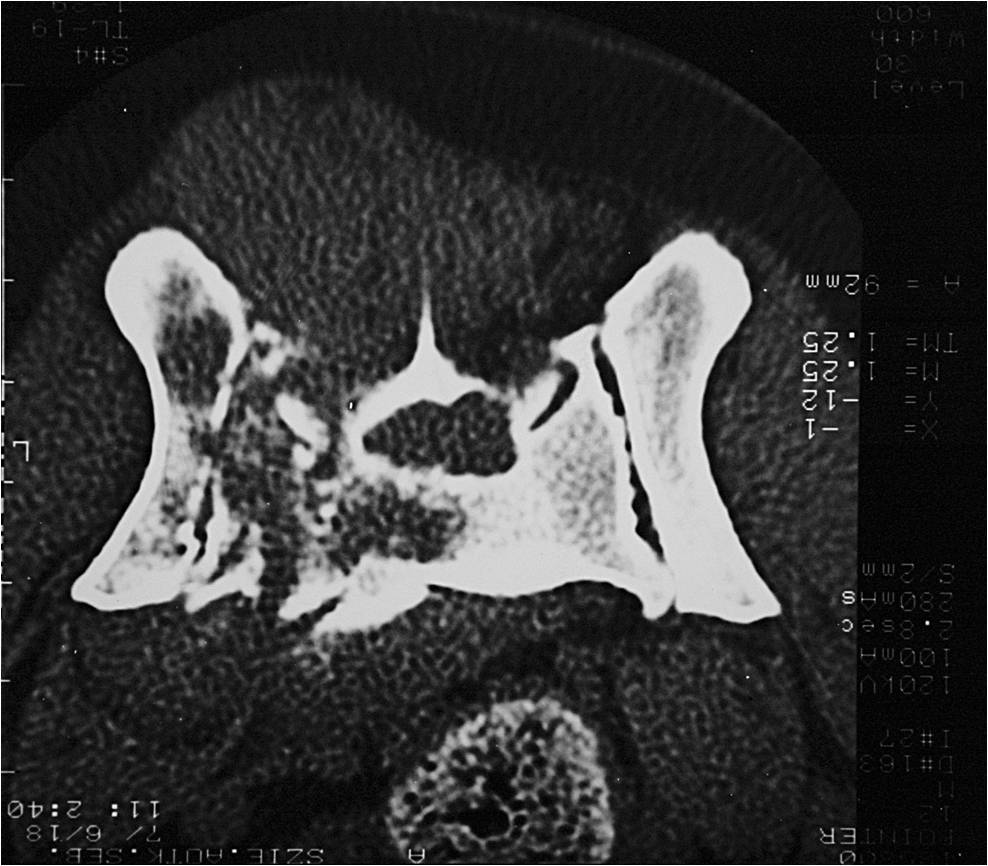
Különösen nagy jelentősége van a gerincsérülések (6. ábra), a csigolyák daganatos (7. ábra) és a csigolyák gyulladásos betegségeinek (8. ábra) pontos diagnosztikájában. A porckorongsérv megállapításában
is nagyon jól használható eljárás, ráadásul kombinálható is a gerincfestéssel, tovább növelve a képalkotó diagnosztika hatékonyságát a gerinccsatornán belüli kóros folyamatok diagnosztikájában. Kimutatható
így egy enyhébb porckorongsérv (9. ábra), vagy akár egy a gerinc mellett kialakuló ciszta is (10. ábra).
Csigolyatörés.
Csigolya daganat.
Csigolyatest gyulladás.
Porckorongsérv.
Cysta a gerinccsatornában.
CT létjogosultsága az állatorvosi diagnosztikában egyértelmű, de sajnos elterjedését a berendezések magas ára nagyon nagymértékben korlátozza. Szerencsére néhány helyen ma már Magyarországon is elérhető
ez a diagnosztikai módszer.
Természetesen a CT sem alkalmas minden idegrendszeri betegség megállapítására. Ezekben az esetekben más elven működő képalkotó vizsgálatot (MRI) és/vagy egyéb kiegészítő vizsgálatokat (pl. agy-gerincvelői
folyadék laboratóriumi vizsgálata) kell igénybe venni.
Dr. Csébi Péter
SZIE Állatorvos-tudományi Kar, Sebészeti és Szemészeti Tanszék és Klinika
Csigolyatörés.
|
Csigolya daganat.
|
Csigolyatest gyulladás.
|
Porckorongsérv.
|
Cysta a gerinccsatornában.
|
|






























