Myelographia
Myelographia - Gerincfestés
Dr. Bánfi András
Dr. Zsoldos László
Primavet Kisállat-Rendelőintézet
A gerinc csatornában a neurológiai panaszokat okozó térszűkítő folyamatok és jelenségek kimutatására szolgáló, invazív, komolyabb felkészültséget kívánó diagnosztikai módszer. Térszűkítő folyamat lehet
bevérzés, daganat, elmozdult csigolya, porckorong sérv, csontos szűkület stb. Ha ezen elváltozások nem látszanak a natív (festés nélküli) röntgenfelvételen, és a beteg műtéte elkerülhetetlen, a myelográfia
(gerincfestés) módszere lehet az egyik amelyik segítségével az elváltozás pontos helye kimutatható.
Vénakanül behelyezése
Intubálás, altatógépre helyezve, szőrnyírás
Fertőtlenítés
A speciális punkciós tű liquor vételhez
és kontrasztanyag liquor térbe juttatásához
Liquor tér eléréséhez több a gerinc több pontja is alkalmas.
Occipital punctio: C1 előtt,
>
beszegjük a fejet, de egyenes síkban tartjuk
a speciális tűvel behatolunk a gerinc csatornába a liquor térbe. Tiszta liquor ürülését várjuk. (2-5 percig) Hagyjuk kicsöpögni, MEGSZÍVNI TILOS! Annyit hagyunk lecsepegni mint a tervezett bejuttatandó
mennyiség cca.2/3-a. (Mérni kell). Ha vér ürül: ismételni kell a szúrást.
A szúrás pillanata
Kontrasztanyag beadása rendkívül lassan: 0.5ml / 10 sek alatt, : 0,3-0,5 ml/ttkg adagban Röntgen felvételek készítése minimum 3 ( 4 ) kép kétirányban - azonnal, - majd - 5 perc - 10 perc - 15 perc múlva
A tű kihúzása előtt a mandrint visszatoljuk,
hogy ne maradjon a beszúrás helyén kontraszttócsa
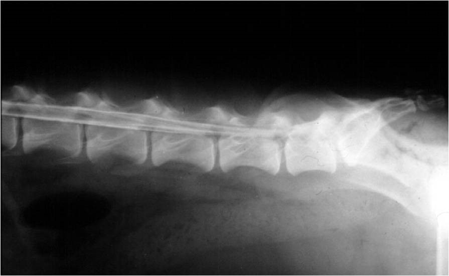
Nyaki myelogram
A nyak és a háti gerinc szakasz átmenete
Lumbalis kontraszt stop és
dorsalis szűkület a gerinc csatornában
Lumbalis szakasz negatív myelogram
Lumbo (sacral) punctio. A punctio helye
Lumbalis 6 csigolya-Lumbalis 7 között
Kontraszt stop L2-3 között
Thoraco-lumbalis kontrasztstop
L7-S1 punctio: epidurográfia, speciális célra,
főleg cauda equina syndroma igazolására
Epidurogram lumbalis szakaszon
A myelogram értékelése
Két irányban készített felvétel alapján a szűkület helyének oldalisága is megállapítandó !
Csak a klinikai tünetekkel megegyező, azzal összhangban lévő myelogram releváns!
Szövődmény lehetőségek
-
Átmeneti vérnyomás,- liquornyomás ingadozás, gerincburok bevérzés
-
Átmeneti fejfájás, tarkómerevség
-
Átmeneti rosszullét, hányás
-
Exitus
Dr. Bánfi András
Dr. Zsoldos László
Primavet Kisállat-Rendelőintézet
Vénakanül behelyezése
|
Intubálás, altatógépre helyezve, szőrnyírás
|
Fertőtlenítés
|
A speciális punkciós tű liquor vételhez
és kontrasztanyag liquor térbe juttatásához
|
Occipital punctio: C1 előtt,
>
|
beszegjük a fejet, de egyenes síkban tartjuk
|
|
A tű kihúzása előtt a mandrint visszatoljuk,
hogy ne maradjon a beszúrás helyén kontraszttócsa
|
Nyaki myelogram
|
A nyak és a háti gerinc szakasz átmenete
|
Lumbalis kontraszt stop és
dorsalis szűkület a gerinc csatornában
|
Lumbalis szakasz negatív myelogram
|
Lumbo (sacral) punctio. A punctio helye
Lumbalis 6 csigolya-Lumbalis 7 között
|
Kontraszt stop L2-3 között
|
Thoraco-lumbalis kontrasztstop
|
|
L7-S1 punctio: epidurográfia, speciális célra,
főleg cauda equina syndroma igazolására
|
Epidurogram lumbalis szakaszon
|


























